樊粤光 广东省名中医、全国名老中医药专家、教授、主任中医师,1954年生于广州,1983年毕业于广州中医学院(现广州中医药大学),留校后一直从事中医骨伤科学的临床、教学、科研和管理工作。樊教授治学严谨,擅长中西医结合治疗髋、膝关节疾病,特别在股骨头坏死和膝关节骨性关节炎诊治方面经验丰富。先后主持国家级、省部级基金课题13项,主编多部国家“十一五”“十二五”高等院校规划教材,曾获国家科技进步二等奖、国家中医药管理局科技进步二等奖等多项重要奖项。
医案是中医临床实践的记录,体现了诊疗过程中理、法、方、药的具体运用,是医家诊治疾病思维过程的表现。历代名家医案是中医药宝库中的瑰宝。我们推出【以案说医】栏目,以期传承精华,启迪我辈,共同进步。
金某,女,时年25岁,初诊:2019年12月。
患者于5月前不慎从木梯上跌下,左髋部着地,左髋部稍有疼痛,未予重视,后反复外敷中药药膏,近10天患者走路较多,觉左髋部疼痛加重,且行走困难,于25/12至外院就诊,查双髋CT示:左侧股骨颈骨折;查双股骨头MRI:左髋关节股骨颈头下陈旧性骨折并左股骨头坏死(Ⅱ°),左髋关节滑膜囊少量积液。今为进一步治疗来我院就诊,门诊以"股骨头坏死"收入院。
【首诊证候】
主诉:外伤后左髋关节疼痛5月余。
症见:自发病以来,病人精神状态良好,体力情况良好,左髋关节疼痛,行走困难,食欲食量良好,睡眠情况良好,体重无明显变化,大便正常,小便正常。
既往史:既往2014年左手肿物行手术切除。否认肝炎、结核等传染病病史,否认糖尿病等慢性疾病病史,否认输血史,预防接种史不详。
过敏史:否认食物、药物过敏史。
体格检查:患者跛行,骨盆无倾斜,双下肢基本等长,左侧腹股沟中点压痛(-),左大粗隆叩击痛(-),Allis征(-),左侧4字征(+),Thomas征(-),右踝关节畸形,无压痛活动尚可,双下肢远端血运、感觉正常及足趾活动可。右髋未见明显异常。双髋关节活动度见下:
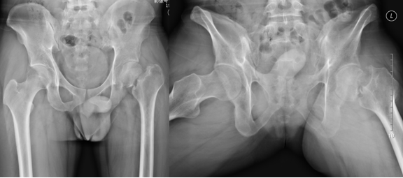
辅助检查:双髋正侧位X片:左股骨颈陈旧性骨折。
【辨证论治】
西医诊断:1、创伤后股骨头坏死 (左侧) ;2、股骨颈骨折 (左侧) 。
中医诊断:骨蚀(气滞血瘀)。
辨证分析:患者做髋部外伤后,至髋部骨折筋伤,局部气滞血瘀、骨失所养,发为骨蚀。症见做髋部疼痛,痛有定处,关节活动受限,腹股沟区压痛,舌暗,或有瘀斑,苔白或薄黄,脉弦或脉沉涩为气滞血瘀之象。
治则治法:行气活血,化瘀止痛。
处方或治疗技术:
1、理伤消肿口服液、三七通舒胶囊活血化瘀、通络止痛。
2、中医治则治法:中药以活血化瘀、通络止痛为法,方拟桃红四物汤加减,其中以桃仁、红花活血化瘀,赤芍养血和营,川芎活血行气止痛,宽筋藤通络止痛,续断补益肝肾强筋骨,三七活血止痛,泽泻健脾渗湿,丹参活血,生地黄滋阴养血,牛膝引药下行。具体方药如下:
方组:燀桃仁10g、红花10g、赤芍15g、川芎15g、盐牛膝15g、宽筋藤15g、续断15g、三七10g、泽泻15g、丹参15g、生地黄15g、炙甘草6g。
3、左股骨颈重建术。
【随诊过程】
复诊:
患者未诉做髋部疼痛,无畏寒、发热,查体:左髋伤口愈合良好,局部皮温、肤色正常,压痛(-),左髋关节活动无受限。
按语:
传统医学中并无股骨头坏死的病名记载,但是对股骨头缺血坏死的病因病机在《黄帝内经》的“骨蚀”“骨痿”的记载中均有描述,此外还类似于“骨极”“骨畴”等描述。股骨颈骨折因外伤致脉络疲阻,骨之脉络不畅,组织失却濡养而致坏死。辨证为气滞血瘀,治宜活血化瘀,桃红四物汤主之。
樊粤光教授认为,引起股骨头坏死的病因病机十分复杂,“股骨头缺血”是致病的基本病理。自身体重与关节周围肌肉收缩都可产生对股骨头的压应力,这是造成关节面塌陷的外在因素。当骨组织缺血坏死,同时修复过程亦随之开始。死骨吸收移除,由新生骨代替,也就是所谓“爬行代替”过程。在替代过程中,若新生骨小梁尚未成熟,机械支撑强度不足,或在新骨与死骨交界区域,承受压应力过大,则容易发生骨小梁断裂而出现临床上常见的“新月征”和关节面塌陷。在病变的早、中期,如何减少压应力,使坏死的骨质在适合的环境中修复,是治疗工作中关键性的一环。
创伤性坏死多见于股骨颈骨折与髋关节脱位后,移位性股骨颈骨折后的坏死发生率高达85 %,无移位骨折的坏死率亦在15%~ 25%。青年股骨颈骨折多因强大暴力所致,骨折后移位明显,股骨头血供遭受不同程度的破坏,宜急诊手术,解剖复位,尽早恢复骨折的稳定性,减轻关节内压力。此患者为陈旧性股骨颈骨折,骨折端部分吸收,股骨头坏死,治疗难点大。切开复位,股骨颈重建是一种可选择的治疗方法,重建股骨颈长度及稳定性,促进骨折愈合及坏死修复。
无论中西医的治疗方法都围绕着促使病变股骨头血运的恢复、逆转病机、防止塌陷的目标开展。中药复方在股骨头血运的恢复这方面显示了良好的前景,如袁氏生脉成骨片、川芎嗪片以及其它复方中药制剂,通过大量实验及临床观察获得良好验证。
郑重申明:
由于每个人的体质和病情不同,本案中的方药和剂量仅适用于本案病人当时的病情。未经中医辨证诊治,不得照搬使用本案中的处方和剂量。广大读者如有需要,应前往正规医院诊治,以免贻误病情。

